13 KiB
Brain lesion patients
- Lesions in brains or degenerative diseases help us understand brain function
- Phineas Gage– Railroad spike through frontal lobes changed his personality
Note:
Furthermore, studies of patients with brain lesions has historically been key to localizing parts of the brain that affect emotional states and learning and memory.
e.g. Phineas Gage in 1848 his whole personality changed after the spike went through his brain.
Harlow wrote: "the equilibrium... between his intellectual faculties and his animal propensities seems to have been destroyed"
Model organisms— C. elegans
- The nematode worm C. elegans is great for genetic engineering and has a tiny nervous system (just 302 neurons)

Note:
It is difficult to visualize and record neurons and manipulate genes in humans so neuroscientists study a number of different model organisms.
Now to do neuroscience research we have to use model organisms of course. Small number of neurons, can be labeled using green fluorescent protein or other means.
C. elegans is a nematode or roundworm. It is non-infectious and non-parasitic organism just 1 mm long and it can be easily genetically engineered. That means you can introduce mutations to genes or express fancy inert proteins that allow you to track the function of genes and cells in living animals making it a great model organism.
For neuroscientists it has only 302 total neurons making it a great way to dissect neural circuits underlying simple behaviors. Many mutant worms have been isolated that affect nervous system function allowing us to learn about the function of those genes. And you can engineer the worms to express fluorescent proteins so that the animal's neurons glow under a microscope. How many of you have heard of green fluorescent protein?
Having just 302 neurons is great for for some types of studies, however we have more than a million neurons in each of our eyes just alone
More than 1 million neurons that just form the optic nerve from each of our eyes!
Model organisms— squid
Squids have unusually large axons (1 mm diameter)
Note:
Jules Verne provided inspiration for the space age but also neuroscientists in the 1940s.
Squids are arguably the most important model organism in the history of neuroscience. They are rarely studied anymore but their large axons which are 1mm in diameter-- 1000x bigger than our axons-- made their axons amenable to sticking electrodes inside them in the 1930s-50s and allowed neuroscientist to discover the biophysical and mathematical basis of neuronal signaling. We will discuss squid giant axons in much more detail soon.
Other important invertebrate organisms in neuroscience research include sea slugs and fruit flies and zebrafish. Some of these are very amenable to genetic engineering like C. elegans and have nervous systems more similar to our own.
Phylum: Mollusca Class: Cephalopoda Order: Teuthida Family: Loliginidae Genus: Loligo
Atlantic squid (Loligo pealei)
Phylum: Mollusca Class: Cephalopoda Order: Sepiida Family: Sepiidae Genus: Sepia
Model organisms— Mus. musculus
The mouse is a common model in neuroscience research.

Note:
But mammals are the only animals that have evolved a convoluted superficial part of the brain called the neocortex. And it is the cerebral neocortex is crucial for our highest cognitive functions, even if it sometimes seems that in election years that humans have lost their cerebral function.
Thus for research pertaining to the structure and function of the mammalian brain and human disease we turn to rodents like the common house mouse. Mice are small with a brain 2 cm in length, develop fairly quickly, and their genome has long been one of the most amenable to genetic engineering though this is quickly changing newer molecular biology techniques (like the CRISPR/Cas9 system).
- Mouse brain is about 2 cm in length
- genetically tractable
- https://www.youtube.com/watch?v=stPThgZ2Y5o
Model organisms– other mammals
Higher mammals are used to study more complex brain functions.
Note:
put new 2018 duke study in here. interbrain cortical synchronization and mirror neurons between monkeys
Research with cats was critical for work from the 1950s to 1980s that allowed neuroscientist to learn how visual signals are processed in the highest circuits of the mammalian brain.
And research with rhesus monkeys has been essential for learning about perceptual, attentional, and decision making in the mammalian brain together with research into brain-machine interfaces that have direct clinical applications for human patients.
3rs: Replacement, Reduction, and Refinement
Fluorescence Microscopy
- Fluorescent molecules absorb light at one wavelength and emit it at another-longer wavelength.
- Uses optical filters to allow only light of a given wavelength in and out.
- Can detect specific proteins or other molecules in cells and tissues.
- Fluorescein (emits green), rhodamine (deep red) are molecules that can be chemically coupled to proteins to detect their localization indirectly
- GFP, isolated from jellyfish is a protein (encoded by a gene) that has intrinsic fluorescence.
Note:
Fluorescent molecules can be detected with light in very small amounts. This lets us look at specific molecules within a cell if they are tagged with a probe. Remember that most animal cells are not fluorescent. The fluorophore absorbs light energy of a specific wavelength and re-emits light at a longer wavelength. The absorbed wavelengths, energy transfer efficiency, and time before emission depend on both the fluorophore structure and its chemical environment, as the molecule in its excited state interacts with surrounding molecules.
##Secondary antibodies recognize primary antibodies and are species specific.


Note:
Can couple many things to antibodies
##Fluorescence Microscopy


Note:
Here is the maximum excitation and emission wavelengths of several common flourescent probes. The photon emitted is of lesser energy that the one absorbed. In a microscope a filter set is used to only allow a specfic wavelength in and out to the eye.
##Immunocytochemistry
If you want to look at a macromolecule inside a cell, but it is not fluorescent...use indirect immuno-fluorescence microscopy

Note:
##GFP is an intrinsically fluorescent protein

Note:
Freshly translated GFP is not fluorescent, but undergoes a self-catalyzed post-translational modification that generates a chromophore inside the barrel.
##GFP can be expressed under
##specific gene promoters
Figure 9-25 Molecular Biology of the Cell (© Garland Science 2008)
Here expressed in fly peripheral neurons

Note:
Remember that GFP is a gene that encodes a protein. You can put it behind the promoter to detect which cells express a given gene.
##GFP can be used to create designer pets
http://news.nationalgeographic.com/news/2009/05/photogalleries/

Note:
##All kinds of fluorescent protein variants these days

Note:
Brain imaging techniques
- Computerized tomography (CT) scan– uses X-rays in 3-dimensions to generate a brain image
- Can be digitally sectioned to show internal areas of the brain
- Can distinguish between grey matter and white matter, see the ventricles, has resolution of several millimeters
Note:
Magnetic resonance imaging (MRI)
- Uses rotating magnets to generate image
- Non-invasive
- Can view images from any angle
- Resolution under 1 mm
- Can be adapted to do functional MRI imaging
Note:
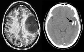
Tumor detection
MRI CT-SCAN
Note:
Magnetic resonance imaging (MRI)
Note:
functional magnetic resonance imaging (fMRI)
- Oxy-hemoglobin and deoxy-hemoglobin have different magnetic resonance signals
- Brain areas activated by a specific task utilize O2, then a pulse of O2 comes back and creates an influx of oxy-hemoglobin
- Can repeat task many times over
- Spatial resolution– millimeters
- Temporal resolution– seconds
Note:
fMRI
Note:
Mapping brain activity with fMRI

Note:
Lie detection with fMRI
Note:
build a new age lie detector









